
Examining the Hidden Dangers of Vascular Emergencies
The recent case of a ruptured internal iliac artery aneurysm reminds us all about the unpredictable nature of vascular emergencies. In the emergency department, where every minute counts, doctors must quickly figure a path through tricky parts, tangled issues, and confusing bits of patient presentation. This editorial takes a closer look at the medical, social, and psychological layers that surround this rare phenomenon and stresses why keeping our eyes open and our actions swift are essential in saving lives.
When Unusual Symptoms Signal a Critical Problem
Vascular emergencies such as internal iliac artery aneurysms are notorious for their nerve-racking onset. Unlike more common conditions, they can strike without warning and present with puzzling symptoms like syncope (fainting) and localized pain that may seem related to a gastrointestinal or urinary issue. The perplexing case we discuss involved a 61-year-old man who experienced drastic changes in his health—a sudden collapse and severe pain in his left abdomen and groin.
His case raises important questions about the subtle details behind these emergencies. When patients present with non-specific signs, physicians are pressed to look beyond the obvious. In this situation, multiple factors including low blood pressure, elevated lactate levels, and even the patient’s social background need to be taken into account as part of the diagnostic puzzle.
Recognizing the Subtle Signs: What to Watch For
Understanding Vascular Aneurysm Presentations in Emergency Settings
Emergency medicine often faces the challenge of distinguishing between similar symptoms that could hide vastly different causes. While abdominal pain and collapse might immediately lead one to consider common culprits such as gastrointestinal bleeding or heart-related events, the possibility of a vascular aneurysm should not be overlooked. The case under review highlights a scenario where the confused bits of symptoms—like localized pain without an apparent pulsatile mass—could easily be misinterpreted.
It is essential to remember that in emergencies, every sign matters. Here is a summary of the key symptoms to stay alert to:
- Sudden sharp pain in the lower abdomen or groin
- Syncope or collapse, sometimes during routine activities
- Signs of low blood pressure and a rapid heart rate
- Pale skin and signs of shock, even in the absence of other symptoms
These features collectively indicate that doctors need to dig into the patient’s full medical history and lifestyle to discover further subtle details that point to a dangerous vascular problem.
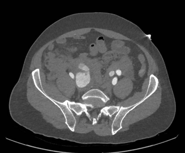
The Role of Imaging: When Basic Exams Aren’t Enough
From Bedside Ultrasounds to Advanced CT Scans
Point-of-care ultrasound (POCUS) is a common first-line tool used in emergency departments. Its convenience and high sensitivity in detecting conditions like abdominal aortic aneurysms make it a super important diagnostic method. However, when it comes to internal iliac artery aneurysms, POCUS can miss the diagnosis because of the deep anatomical location of the affected vessel and sometimes, the overlying bowel gas muddles the picture.
This is where contrast-enhanced computed tomography (CT) scans prove their worth. In the case addressed, after initial tests failed to capture the full extent of the aneurysm, a CT scan confirmed the presence of a sizable ruptured aneurysm. The CT scan not only revealed a large aneurysm but also gave a clear map of the surrounding area by detecting a retroperitoneal hemorrhage and pinpointing potential bleeding sites.
Below is a table summarizing the role and limits of various imaging modalities in this context:
| Imaging Method | Advantages | Limitations |
|---|---|---|
| POCUS |
|
|
| CT Scan |
|
|
Therefore, while basic ultrasounds are a key first step, CT scans work as a must-have advanced diagnostic tool and are critical when initial imaging does not resolve the patient’s condition.
Exploring the Risk Factors: Beyond the Medical Record
Social Isolation and Its Impact on Health
In assessing any medical emergency, understanding a patient’s lifestyle is just as important as the clinical findings. The patient in our report had multiple risk factors: decades of smoking, high blood pressure, a prior cerebrovascular accident, and significant atherosclerotic disease seen via calcifications in his arteries. But a less obvious risk factor was his agoraphobia and the resultant social isolation.
Living largely isolated and avoiding regular check-ups can lead to subtle symptoms being ignored. The challenging parts of managing such patients extend beyond subtle clinical details. They are also wrapped in social and psychological layers that might hinder timely diagnosis.
Key social and medical risk factors include:
- Long-term smoking history – significantly increases the odds of developing vascular aneurysms
- Hypertension – a common contributor to vascular damage
- Atherosclerotic changes – evidenced by calcifications and concurrent aneurysms in different arteries
- Mental health issues (like agoraphobia) – reducing awareness and timely medical consultations
For healthcare providers, it becomes super important to take a closer look at the broader picture. The hidden complexities of a patient’s lifestyle and mental health can contribute to the twisting turns inherent in diagnosing life-threatening conditions. When doctors manage your care, they must consider both the clinical and social aspects to advise on preventive screenings and timely interventions.
Resuscitation Methods: Working Through the Pressure in the ER
Striking the Balance Between Fluid Management and Clot Formation
In emergency situations like a ruptured aneurysm, the process of fluid resuscitation is full of problems. While a patient in shock needs fluid support, overzealous administration of fluids might wash away any forming clot, worsening the bleeding. Both the National Institute for Health and Care Excellence (NICE) and European Society for Vascular Surgery (ESVS) guidelines counsel that doctors should aim for a strategy known as permissive hypotension. In other words, they work through the tricky bits in managing blood pressure carefully rather than trying to normalize it immediately.
Some of the key considerations in fluid management include:
- Limiting fluid volumes to avoid increasing the risk of perioperative complications
- Targeting a lower systolic blood pressure, usually between 70-90 mmHg
- Utilizing blood products such as red blood cells and fresh frozen plasma in a 1:1 ratio
- Aiming to support clot formation rather than complete circulatory normalization
This approach may seem counter-intuitive, but it is a fine balancing act. The goal is to maintain just enough blood flow to support vital organs while giving the body room to form stabilizing clots at the site of the rupture. This medically delicate decision-making process is one of those nerve-racking moments in the emergency department where every second matters.
Endovascular Repair: A Modern Lifeline for High-Risk Patients
Exploring the Advantages of Minimally Invasive Techniques
The preferred treatment for ruptured internal iliac artery aneurysms has increasingly shifted toward endovascular repair. In the recent case, endovascular embolization coupled with stent placement made a significant difference. Under local anesthesia and ultrasound guidance, vascular surgeons were able to promptly insert an Amplatzer vascular plug and a Gore Viabahn covered stent graft. This technique blocks blood flow to the aneurysm while ensuring continued blood supply to other critical areas.
There are several key reasons why an endovascular approach is embraced as the first choice when conditions allow:
- It is less invasive than traditional open surgery, reducing recovery time.
- It minimizes the risk associated with general anesthesia, making it suitable for high-risk patients.
- It allows for rapid deployment of devices to seal off the rupture.
- It enables targeted treatment, reducing collateral tissue damage.
Adopting these modern techniques not only improves survival rates but also contributes to better long-term outcomes. Thus, when faced with the twisted issues of a vascular emergency, endovascular repairs provide a robust and less intimidating alternative to more invasive surgical interventions.
A Closer Look at the Decision-Making Process in Emergencies
The Fine Points of Quick Diagnosis and Timely Management
When a patient arrives at the emergency department, the decisions that follow are full of tricky parts and little details that could literally make the difference between life and death. Diagnosing a ruptured aneurysm—especially an internal iliac artery aneurysm—can be riddled with uncertainty, mostly due to the subtle presentation of symptoms. It’s super important for emergency teams to not only rely on rapid assessment tools like POCUS or rapid blood tests but also to be mindful of the risk factors and the patient’s overall story.
Let’s break down the key steps in managing such an emergency:
- Initial Evaluation: Rapid assessment of symptoms, vital signs, and a swift physical exam to spot signs of shock or internal bleeding.
- Focused Bedside Imaging: Utilizing POCUS initially even though it has limitations, specifically in detecting retroperitoneal events.
- Advanced Imaging: Proceeding to CT scans when clinical suspicion remains high and initial tests do not provide clear answers.
- Fluid Management: Employing permissive hypotension to avoid disrupting forming clots.
- Urgent Vascular Consultation: Engaging specialists quickly to ensure prompt endovascular or surgical repair.
- Continuous Monitoring: Keeping a close eye on intra-abdominal pressure and overall hemodynamic stability post-procedure.
Every step in this process is interlinked, and skipping any part might result in missing the chance to save a life. This careful approach is a good example of how modern emergency medicine has evolved—always striving to figure a path through confusing bits and unexpected twists.
The Broader Picture: Implications for Public Health and Preventive Care
Integrating Advanced Screening for High-Risk Individuals
This case also serves as a reminder of the importance of preventive screenings, especially among individuals loaded with vascular risk factors. Regular ultrasound screenings can help catch aneurysms before they reach a life-threatening stage. Yet, many high-risk patients might only be diagnosed after an emergency, largely because of delayed medical evaluations and social isolation.
Several measures can be taken to improve early diagnosis:
- Encouraging routine vascular screening among older adults, particularly those with a history of smoking, hypertension, or cardiovascular disease.
- Designing public health campaigns that educate on the symptom warning signs for vascular aneurysms.
- Integrating mental health services and community outreach to support patients dealing with social isolation or anxiety disorders.
- Improving access to healthcare for populations that might hesitate to seek medical attention due to psychological or logistical challenges.
The integration of preventive care and public health strategies is key to reducing the burden on emergency services. It also helps clinicians steer through the nerve-racking twists and turns that accompany unexpected vascular emergencies. When used effectively, these strategies not only save lives but also improve overall community well-being.
Mental Health and Vascular Risk: An Intertwined Journey
Understanding the Impact of Anxiety and Isolation on Health Outcomes
The case under consideration not only threw up some serious medical hurdles but also highlighted a strong social and psychological component. Patients with conditions such as agoraphobia often experience delays in medical evaluation due to fear and isolation. This delay compounds the risk when a significant underlying illness, such as an aneurysm, remains unmonitored and untreated.
It becomes clear that mental health and physical health are on edge in cases like these. Here are a few points on how mental health affects overall vascular risk:
- Delay in Seeking Help: Those with social anxiety may endure symptoms longer, causing a delay in diagnosis and treatment.
- Underreporting of Symptoms: Patients facing mental health challenges may minimize or ignore early warning signs.
- Complex Interactions: Stress and anxiety contribute to hypertension, which in turn increases the risk of aneurysmal formations.
- Importance of Holistic Care: Addressing both mental and physical health is critical in high-risk populations.
Addressing these subtle parts in patient care, including routine mental health evaluations and community support for isolated individuals, could make a major difference in outcomes. The healthcare system must find a way to merge mental well-being with physical health surveillance to avoid cases where dangerous conditions go untreated until they become overwhelming emergencies.
Learning from Experience: How Clinical Guidelines Evolve
Adapting Protocols in the Face of Life-Threatening Emergencies
The evolution of clinical guidelines over the past few years has been driven by recurring, nerve-racking challenges encountered in emergency departments. Both NICE and the European Society for Vascular Surgery regularly update their protocols based on real-world experiences, studies, and new technological advancements. The strategies adopted for fluid management and early imaging have been refined considerably in response to the tricky, tangled issues seen in patients with a vascular emergency.
Key adaptations in clinical practice in recent times include:
- Emphasizing early CT scanning in cases where POCUS falls short.
- Highlighting the strategy of permissive hypotension in fluid resuscitation protocols.
- Prioritizing endovascular repair techniques as a safe and rapid intervention option—thanks to improved device designs and procedural protocols.
- Integrating mental health screening into routine preventive care for high-risk individuals.
These changes, driven by careful analysis of the fine points in emergency cases, reflect a broader trend in healthcare—one that favors rapid, integrated responses over traditional, slower methods. Such proactive measures help medical teams get around the confusing bits of complex patient presentations and often turn a potentially overwhelming scenario into one with a chance for recovery.
A Call to Action: Strengthening the Bridge Between Prevention and Emergency Response
Collaboration Between Healthcare Providers and Communities
The really critical takeaway from this case is the need for improved collaboration. Healthcare providers, public health officials, and community organizations must join forces to create strategies that not only prepare for emergencies but also work to prevent them. This collaborative approach is particularly important in managing populations that have a higher risk due to lifestyle factors and mental health issues.
Some key recommendations include:
- Regular Screening Initiatives: Encourage routine ultrasound and vascular health checks for older individuals and those with a significant history of vascular risk factors.
- Enhanced Education Programs: Train emergency responders and primary care doctors to be extra alert for the subtle clues that indicate hidden vascular problems.
- Social Outreach: Develop community-based programs to reduce isolation, ensuring that patients who might be reluctant to seek help receive proper monitoring.
- Integrated Care Models: Foster close coordination between mental health professionals and physical care providers to conduct comprehensive risk assessments.
The idea is to build an integrated network of care that thrives on early detection and rapid intervention. With every stakeholder playing their part, it becomes easier to get around the tangled issues and nerve-racking decision points that arise in emergency situations.
Reflecting on the Broader Implications for Modern Medicine
Progress in Emergency Medicine Amid Tricky and Confusing Bits
This rupture case is more than a standalone medical event; it is a compelling reminder of how modern medicine continues to evolve in the face of daunting challenges. The journey from a patient’s initial collapse to the successful deployment of an endovascular stent demonstrates the importance of having a multi-layered approach to care. Doctors must be skilled at figuring a path through unexpected twists and turns, piecing together subtle details from a wide range of clinical evidence.
Moreover, this experience underscores the importance of robust clinical guidelines that are frequently updated based on the latest research and field experiences. The advances in endovascular technology and refined fluid management strategies have not only enhanced survival rates but also reduced the long-term complications that can arise after an emergency intervention.
In today’s evolving landscape, the healthcare community is duty-bound to embrace both technological advancements and integrated approaches to patient care. This dual strategy is what ultimately helps save lives and reduces the overall risk associated with vascular emergencies.
Concluding Thoughts: A Future Focused on Early Detection and Rapid Response
Striving for Better Outcomes in Vascular Emergencies
As we reflect on this case, the message is clear: early recognition and rapid intervention are super important in managing rare and potentially lethal conditions like internal iliac artery aneurysms. The case illustrates not only an intense personal medical event but also highlights the need for a broader emphasis on both preventive care and swift emergency response.
Providers must remain vigilant for the tricky warning signs that lurk beneath common symptoms and ensure that advanced imaging tools, like CT, are deployed when necessary. Additionally, the integration of mental health and social care into routine medical screening can help catch these risky vascular problems before they spiral into an intense emergency.
Looking ahead, the focus should be on shaping healthcare systems that can manage and mitigate these nerve-racking emergencies as effectively as possible. By continuously updating clinical protocols and fostering collaborative networks between emergency departments, primary care, and community support systems, modern medicine can significantly reduce the burden of vascular emergencies on both patients and healthcare professionals.
Table: Summarizing Key Steps in Emergency Vascular Care
| Step | Description |
|---|---|
| Initial Assessment | Rapid physical exam, vital sign monitoring, and history taking to identify potential signs of internal bleeding. |
| Bedside Ultrasound | Using POCUS to rule out common causes like abdominal aortic aneurysm—but recognizing its limitations. |
| Advanced Imaging | Deploying contrast-enhanced CT scans to accurately visualize vascular structures and detect retroperitoneal hemorrhage. |
| Fluid Management | Implementing permissive hypotension to support clot formation while avoiding excessive fluid resuscitation. |
| Endovascular Intervention | Using minimally invasive techniques such as stent grafts and vascular plugs to seal off the aneurysm. |
| Post-Intervention Monitoring | Close supervision in the ICU and ward to manage complications and ensure steady recovery. |
Final Reflections
The case of the ruptured internal iliac artery aneurysm is a stark reminder of the hidden dangers lying in wait within our vascular system. Its subtle presentation, layered with both clinical and social complexities, demands that healthcare providers work through every confusing bit with persistent diligence. By combining rapid diagnostic strategies with thoughtfully calibrated treatment protocols, modern medicine has made tremendous strides in managing these emergencies successfully.
As we continue to learn from each case and update our clinical guidelines accordingly, the focus must remain on early detection, rapid response, and a holistic approach that accounts for the full spectrum of patient needs—from technical imaging details to mental health support and social outreach. This integrated method not only enhances patient outcomes but also empowers clinicians to steer through the nerve-racking moments of emergency medicine with confidence and precision.
In conclusion, while the twists and turns encountered in vascular emergencies can be overwhelming, they are also opportunities to advance our practice and refine our response systems. With continued emphasis on education, collaboration, and modern technology, we can ensure that each life-saving decision is backed by a comprehensive understanding of both the minute details and the broader picture.
Originally Post From https://www.cureus.com/articles/416584-ruptured-internal-iliac-artery-aneurysm-presenting-as-syncope-and-left-sided-abdominal-pain-a-rare-cause-of-collapse-in-the-emergency-department
Read more about this topic at
Abdominal Vascular Catastrophe
Abdominal Vascular Catastrophes – Emergency Medicine

