September 2025
Monthly Archives
More stories
-
Popular
Expanding the Role of Coronary Calcium in Redefining Cardiovascular Risk
Reassessing Coronary Artery Calcium Scoring in Preventive Cardiology Coronary artery calcium (CAC) scoring has increasingly positioned itself as a key instrument for individual cardiovascular risk assessment. In recent years, many have begun to appreciate its role beyond traditional risk calculators. This opinion editorial examines how CAC scoring might reshape primary prevention, weighing its potential benefits […] More
-
Historic Medical Breakthrough in Fiji Life Saving Carotid Artery Repair at PSH Hospitals
Historic Advancement in Fiji’s Healthcare System: A Local Triumph The recent successful carotid artery repair at PSH Hospitals represents a turning point for Fijian healthcare. This landmark procedure highlights how local expertise is now able to handle what once were nerve-racking challenges. In the past, patients facing life-threatening vascular issues often had to travel overseas, […] More
-
Forging a New Frontier in Cerebroprotection
Rethinking Cerebroprotection in the Modern Era The field of cerebroprotection has long been a battleground of promising ideas mixed with repeated disappointments. Over the past three decades, researchers have repeatedly observed that neuroprotective treatments performing exceptionally well in preclinical studies tend to falter when tested in large clinical trials. This opinion editorial takes a closer […] More
-
Sanofi DM1 Gene Therapy Soars with Fast Track Designation
Sanofi’s Innovative DM1 Gene Therapy: A New Chapter in Treating Rare Neuromuscular Disorders The recent fast track designation granted by the FDA to Sanofi’s investigational gene therapy, SAR446268, marks a significant milestone in the battle against noncongenital DM1—a challenging neuromuscular disorder also known as Steinert’s disease. This decision, which follows previous orphan drug designations by […] More
-
Xeltis Set to Launch aXess Vascular Access Conduit after Pivotal Trial Results
Digital Verification and Healthcare: A Crucial Intersection in the Modern Era The rapid digitalization of healthcare has changed the way patients and providers interact. When you visit a website like vascularnews.com, you might encounter prompts verifying you are human—a process that seems routine but carries significant implications. This human verification step ensures that the flow […] More
-
Long Term Success of the Neo Aorto Iliac System Transforming Vascular Treatment
The Digital Transformation in Healthcare Research In today’s fast-changing world, accessing medical research and healthcare literature online is more crucial than ever. With technology advancing at a breakneck pace, medical professionals, researchers, and patients alike are urged to keep up with the latest developments in digital platforms. However, many still face challenges due to outdated […] More
-
Palvella Therapeutics Expands QTORIN Rapamycin Development Opening New Therapeutic Horizons
Advancing Treatment for Rare Skin Conditions: The Case of QTORIN Rapamycin In today’s rapidly evolving landscape of modern medicine, breakthroughs in treatments for rare diseases are not only encouraging but also essential. Palvella Therapeutics, a clinical-stage biopharmaceutical company, has recently announced an expansion of their QTORIN™ 3.9% rapamycin anhydrous gel development program to include a […] More
-
Capital Health Update Highlights Advances In Peripheral Vascular Disease Care
Community Health Education: A Vital Role in Empowering Local Residents In today’s fast-paced world, community health education has become more than just a buzzword—it’s a key tool for empowering individuals to take control of their health. As public health initiatives expand, events such as the upcoming Peripheral Vascular Disease (PVD) update at Capital Health highlight […] More
-
Unmasking the Twin Origins of Lower Limb Claudication in a Rare Lumbar Facet Joint Case
Unraveling the Dual Causes of Lower Limb Claudication The case of dual aetiology in lower limb claudication forces us to face some really tricky parts in modern diagnosis and treatment. When a patient presents with both neurogenic and vascular issues, the scenario can be full of problems and surprising twists and turns. As medical professionals, […] More
-
Weekend Adventures Await in Bordentown and Beyond
Community Unity in Bordentown: A Reflection on Local Engagement Bordentown, NJ, is a vibrant tapestry of events that collectively showcase the spirit of a community coming together in ways that are both heartwarming and innovative. As local events unfold—from charity runs that support mental health care for veterans to whimsical art fundraisers for cat shelters—residents […] More
-
Trending
Innovative Ipsilateral Access Enhances Endovascular Treatment Safety
Ensuring Secure Digital Healthcare: Balancing Access and Protection In today’s interconnected world, healthcare information is more accessible than ever before. Patients and professionals alike rely on digital platforms to share and access critical medical data. However, the rise of online interactions poses tricky parts when managing security and verifying genuine human interactions. Many websites, from […] More
-
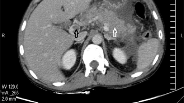
Unraveling the Impact of Anticoagulant Therapy on Portal Vein Occlusion and Collateral Development
Understanding Portal Vein Aneurysm and Extrahepatic Portal Obstruction The story of portal vein aneurysm (PVA) intertwined with extrahepatic portal obstruction (EHO) is both a fascinating and cautionary tale in modern medicine. When we look at these conditions, we see not only their existence as rare vascular events but also a journey that involves tricky parts […] More









